Як перемогти рак? Історія пацієнтки Клініки Спіженко
Реальна історія лікування раку шийки матки пацієнтки Клініки Спіженко: приклад того, що рак, якщо його лікувати у кваліфікованих фахівців, — це не вирок. Але тільки в тому випадку, якщо звернутися до лікаря вчасно.
Такі історії — не рідкість. І далеко не кожен пацієнт готовий розповісти про свою боротьбу зі смертельною недугою. Тим більше, якщо мова йде про подібний діагноз. Але кожен з тих, хто ділиться своїм досвідом боротьби з онкологією, дає шанс іншим, хто все ще не наважуються на візит до лікаря, побачити в наведеному прикладі себе і зробити цей крок — крок до здоров’я.

Ліна Гірагосова, зав. відділенням онкогінекології Клініки Спіженко
Сьогодні ми розповімо про одну з наших пацієнток на ім’я Наталя. В її житті все було нормально, як вона вважала. Невеликі порушення в роботі організму списувала на стреси, втому. І до лікаря звернулася тоді, коли симптоматика стала значно вираженішою.
Говорить лікар Наталі, онкогінеколог Гірагосова Ліна Миколаївна, завідувачка відділенням онкогінекології Клініки Спіженко:
“Наталя, як і будь-яка інша людина на її місці, не була готова почути свій діагноз: рак шийки матки, плоскоклітинна карцинома стадії 2В. Але, впоравшись з емоціями, пацієнтка проявила справжню волю до перемоги над хворобою”.
Її шлях до здоров’я був непростим. Та слід сказати, що різноманітність методів, які доступні лікарям Клініки Спіженко, дозволило підібрати той план лікування, який виявився оптимальним з точки зору ефективності проведеної терапії, якості життя після лікування і прогнозів.
Цей індивідуальний план органозберігального лікування передбачав одночасне променеве лікування. Тому першим етапом стала операція по транспозиції яєчників — їх переміщення з природної позиції за межі планованої зони опромінення. Така операція найчастіше проводиться лапароскопічно і дозволяє зберегти гормональний баланс для виключення настання передчасної менопаузи.
З огляду на стадію захворювання, радикальне лікування слід було провести якомога швидше. Завдяки злагодженим діям усіх підрозділів Клініки Спіженко з моменту звернення до початку першого етапу променевої терапії пройшло не більше тижня, включаючи час на проведення ретельної діагностики, транспозиції яєчників і підготовку плану лікування.
Про план лікування на лінійному прискорювачі слід розповісти докладніше. Слово Олені Попадянець, медичному фізику Клініки Спіженко, яка укладала цей складний план:
“Сучасна променева терапія в Клініці Спіженко проводиться на лінійному прискорювачі, який опромінює пухлину згідно з планом, заданим на візуальній тривимірній цифровій моделі. План лікування містить дані про розташування і контури пухлини, в якій шляхом складання доз, що проходять по різних траєкторіях полів складної форми, буде сформовано високу дозу, згубну для пухлинних клітин. В даному випадку потрібне опромінення одночасно шийки матки, тіла матки і прилеглих лімфатичних вузлів.
Технологія IMRT, доступна на лінійному прискорювачі Клініки Спіженко, дозволяє задати будь-якому з полів складну форму, щоб мінімізувати променевий вплив на здорові тканини. А для певних органів (так званих “холодних зон”) виключити будь-який вплив радіації. Тому в плані променевого лікування у Наталі ми застосували 9 полів опромінення, що збільшило час проведення кожного з сеансів лікування, але забезпечило максимальний захист організму”.

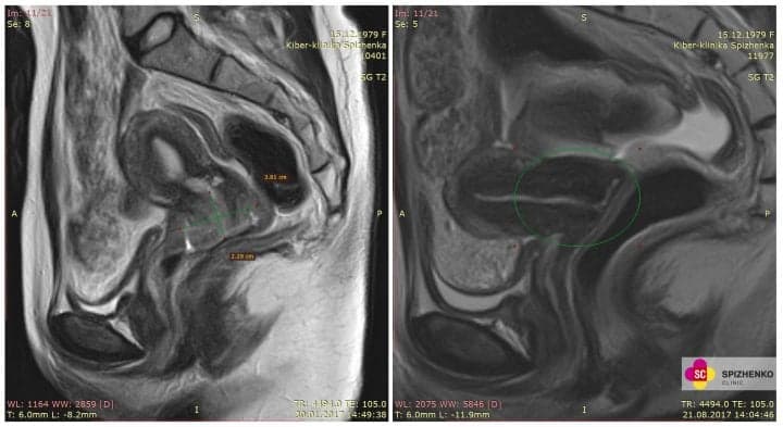
План променевої терапії, на якому висока дози підводиться в заданий обсяг, уражений пухлиною
Також допомогла мінімізувати необхідну для руйнування пухлинних клітин загальну дозу введення невеликих доз хіміотерапії під час курсу опромінення — так звана “радіомодифікація”. Для досягнення максимальної дози в зоні розташування первинної пухлини невеликого розміру ми застосували так званий “буст” — додатковий вплив КіберНожем. Для того, щоб ще точніше підвести дозу, в потрібну зону встановили “мітку” — крихітне золоте зерно, яке для системи стеження КіберНожа означає точку відліку свого плану підведення дози, яка складається в зоні перетину окремих тонких променів іонізуючого випромінювання.

План радіохірургічного лікування на КіберНожі — зона, позначена червоним кольором, отримала необхідну високу дозу іонізуючого випромінювання
Зусилля команди Клініки Спіженко і бажання пацієнтки перемогти хворобу привели до бажаного результату — вже через півроку контрольне обстеження показало, що пухлина зникла.
І життя триває — сьогодні Наталя посміхається на фотографіях, планує подальше життя. Життя без раку. Вона вибрала свій шлях до здоров’я, почавши його з важливого кроку — звернулася до Клініки Спіженко.
Можливо, ця історія допоможе комусь іще зробити цей крок вчасно — поділіться нею з друзями. І приєднуйтеся до офіційних сторінок Клініки Спіженко: https://www.facebook.com/spizhenkocliniconcology та https://www.instagram.com/spizhenko.clinic/





